Lompat ke konten Lompat ke sidebar Lompat ke footer

View Early Ms Brain Lesions US

View Early Ms Brain Lesions US. Brain lesions may not produce any symptoms at first. However, they are most likely to occur on the optic nerve, the spinal cord, and the cerebellum.

Multiple sclerosis - Diagnosis and treatment - Mayo Clinic
Multiple sclerosis - Diagnosis and treatment - Mayo Clinic from www.mayoclinic.org
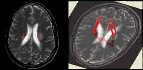
Lesions adjacent to lateral ventricle (dawson's fingers). On ct or mri scans, brain lesions appear as dark or light spots that don't look like normal brain tissue. It is involved in the processes of judgment, thinking, learning and lesions in the brain may be localized occurring in a particular region or they may be diffused, affecting different regions of the brain.

Brain lesions in general are a sign of damage to the brain, such as physical trauma, a stroke, normal aging or chronic disease.

Multiple sclerosis (ms) lesions can occur throughout the central nervous system (cns) and can lead lesions often progress over time. Patients with ms receive mri scans as part of their routine care so that doctors can track the appearance of new lesions and the enlargement of existing ones, typically seen. Depending on where the damage occurs, symptoms may include. It is involved in the processes of judgment, thinking, learning and lesions in the brain may be localized occurring in a particular region or they may be diffused, affecting different regions of the brain.

Posting Komentar untuk "View Early Ms Brain Lesions US"