Lompat ke konten Lompat ke sidebar Lompat ke footer

View Multiple Sclerosis Brain Mri Images

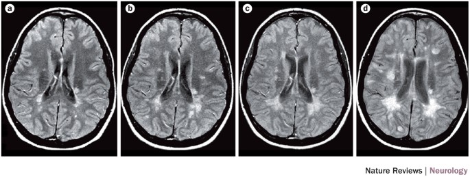
View Multiple Sclerosis Brain Mri Images. Mri studies of multiple sclerosis: Multiple sclerosis (ms) is a condition in which the body's immune system attacks the protective covering (myelin) surrounding the mri can reveal telltale areas of damage called lesions, or plaques, on the brain or spinal cord.

Non-contrast MRI is effective in monitoring multiple ...
Non-contrast MRI is effective in monitoring multiple ... from 3c1703fe8d.site.internapcdn.net
Bear in mind that a normal mri does not ensure that a person does not have ms. Multiple sclerosis and mri basics: Mri, which can reveal areas of ms (lesions) on your brain and spinal cord.

It also be used to monitor disease activity and progression.

An mri identifies scarring or lesions in the brain and spinal cord. In ms, the immune system attacks and damages or destroys myelin, a substance that surrounds and insulates the nerves. Segmentation of multiple sclerosis lesions from mr brain. Frederik barkhof, robin smithuis and marieke hazewinkel.

Posting Komentar untuk "View Multiple Sclerosis Brain Mri Images"